Со д-р Васил Чипуровски информираме за прегледи на внатрешните органи и добиваме и стручни медицински информации за многу интернистички заболувања и нивно откривање и понатамошно третирање. За истите постои голема заинтересираност.
Овој пат Д-р Васил Чипуровски зборува за примена на ехо на бели дробови како скрининг метода, за што вели:
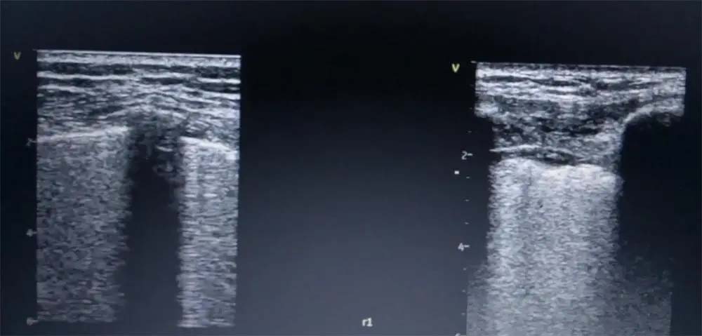
-Примената на ехото на бели дробови е голема со предност немање на радијација за разлика од КТ и рентгенграфијата. При различни дифузни заболувања како саркоидоза, реуматоиден артритис, СЛЕ, амилоидоза често се засегнати и белите дробови пришто ехографски се прикажуваат патолошки “Б“ линии.
Хиперехогените вертикални кои при белодробна конгестија се подвижни и почнуваат од глатка подвижна плеврална линија за разлика од дифузните белодробни заболувања кај кои има задебелување и ирегуларност на плевралната линија со хиперехогени вертикални линии и нивна слаба подвижност.
Во светски рамки има широка примена на ултрасонографијата на бели дробови како скрининг метода секогаш во комплементарност со клиничката слика, лабораториски параметри и други imaging техники.
Ехото на бели дробови се применува и во случаи на белодробна бронхопнеумонија, ателектази, плеврални изливи и пнеумоторакс.






